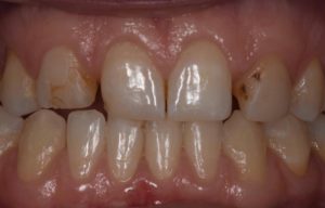
Bonding is useful for masking small blemishes and irregularities. It can also be used to rebuild broken or decayed teeth. It involves moulding tooth-coloured resin putty directly onto the tooth surface and setting it hard with a blue light so that it sticks to the tooth. The bonded resin is then smoothed and polished.
The advantages of bonding compared with porcelain veneers or crowns are that it does not usually involve removal of sound tooth structure; the treatment is usually completed in a single visit; and it is usually less expensive. Bonded resin is not as strong as porcelain veneers or crowns, and tends to chip and discolour with time. The cosmetic result achieved by porcelain veneers or crowns is usually superior.
Bonding can be used as a conservative, temporary measure if a more permanent treatment requiring tooth preparation is planned for a later stage. For example, it can be very useful in managing discoloured or broken down teeth in children, where it is advantageous to delay the removal of tooth structure required for treatment alternatives such as porcelain veneers or crowns.
As with any cosmetic dental treatment, regular maintenance of bonded restorations can enhance their longevity and help maintain a pleasing appearance longer term. Regular maintenance involves both home care, including brushing and cleaning between the teeth, as well as professional cleans by a dentist.2



